

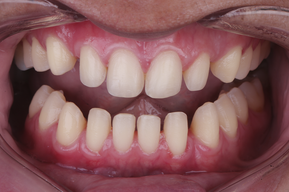
It is the best option when choosing a smile design treatment; ceramic veneers are thin ceramic sheets, which function is mainly aesthetic. It gives us the opportunity to transform stained, fractured, worn or poorly positioned teeth, quickly and naturally improving the shape, the color and the size of the smile, without deteriorating the structure of our own teeth, preserving their resistance and ensuring that you can eat any sort of food easily.
Most people over 18 years old have access to this treatment, as long as they want to make their smile more beautiful, as it is not aggressive for the dental structure.
About the procedure: how many sessions are necessary to finish putting the ceramic veneers in? Is it necessary to apply it to the entire denture?
This is usually done in two sessions. In the first one, we take the impression, which can be digital or manual; in the second one, we carry out the tests, patient acceptance and the cementation of the veneers, the patient leaves the second session with resplendent teeth.
It usually done on anterior and premolar teeth (8-10 ceramic veneers on the top set and 8-10 ceramic veneers on the bottom set)
What should the patient be careful with and how long do they last once they are implanted?
They are permanent and require the same maintenance as natural teeth; therefore, hygiene is necessary every 4-6 months, approximately, to avoid dental cavities, as we would prevent it with natural teeth.
What is the difference between ceramic veneers and resin veneers?
The main difference between ceramic veneers and resin veneers without dental carving is that ceramic veneers are made with a very strong ceramic and much thinner than traditional resin veneers.
The advantages of ceramic veneers are their permanent shine, their extra soft texture, their naturalness, their greater translucency, and the durability of the color, since they do not stain or pigment.
It includes
Full oral hygiene
Gingivectomy (if necessary)
16-20 ceramic veneers: 8-10 on the set, 8-10 on the bottom set
Mouthguard
Ask about the exclusive all-included plan that we have (5-star hotel, relocation and full treatment)
TOTAL TREATMENT us$5000 dolars